- Банк заданий
- Биология
- Задание 10935
Задание №10935 ЕГЭ по Биологии
Тема : Признаки живого
Раздел: Биология как наука
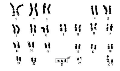
Рассмотрите таблицу «Общие признаки живого» и заполните пустую ячейку, вписав в неё соответствующий термин.
| Признак живого | Иллюстрация признака |
| Развитие | ![]() |
| ? | ![]() |


